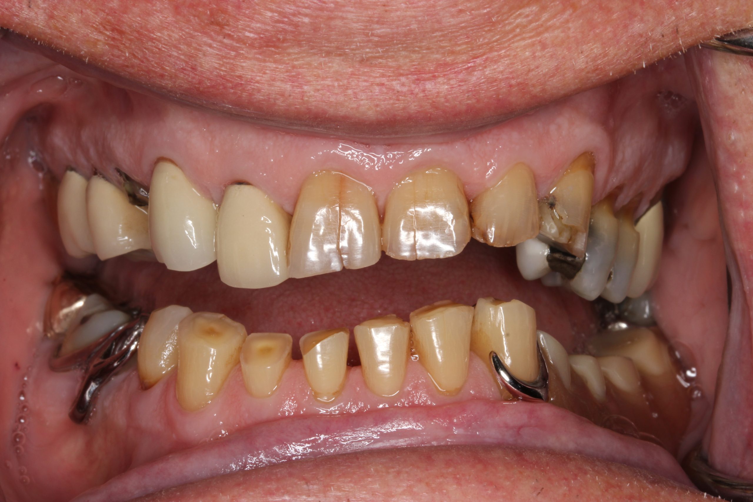
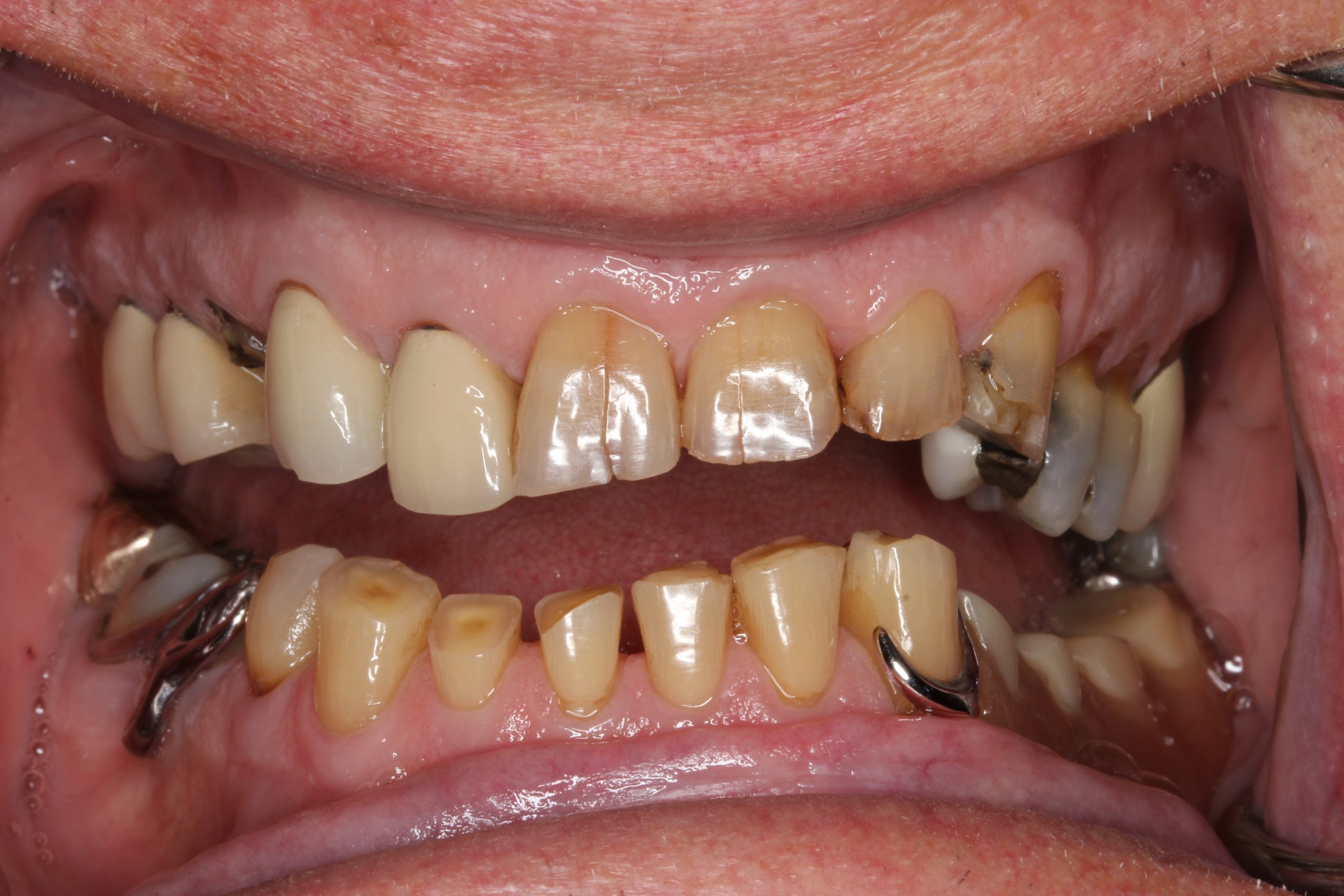
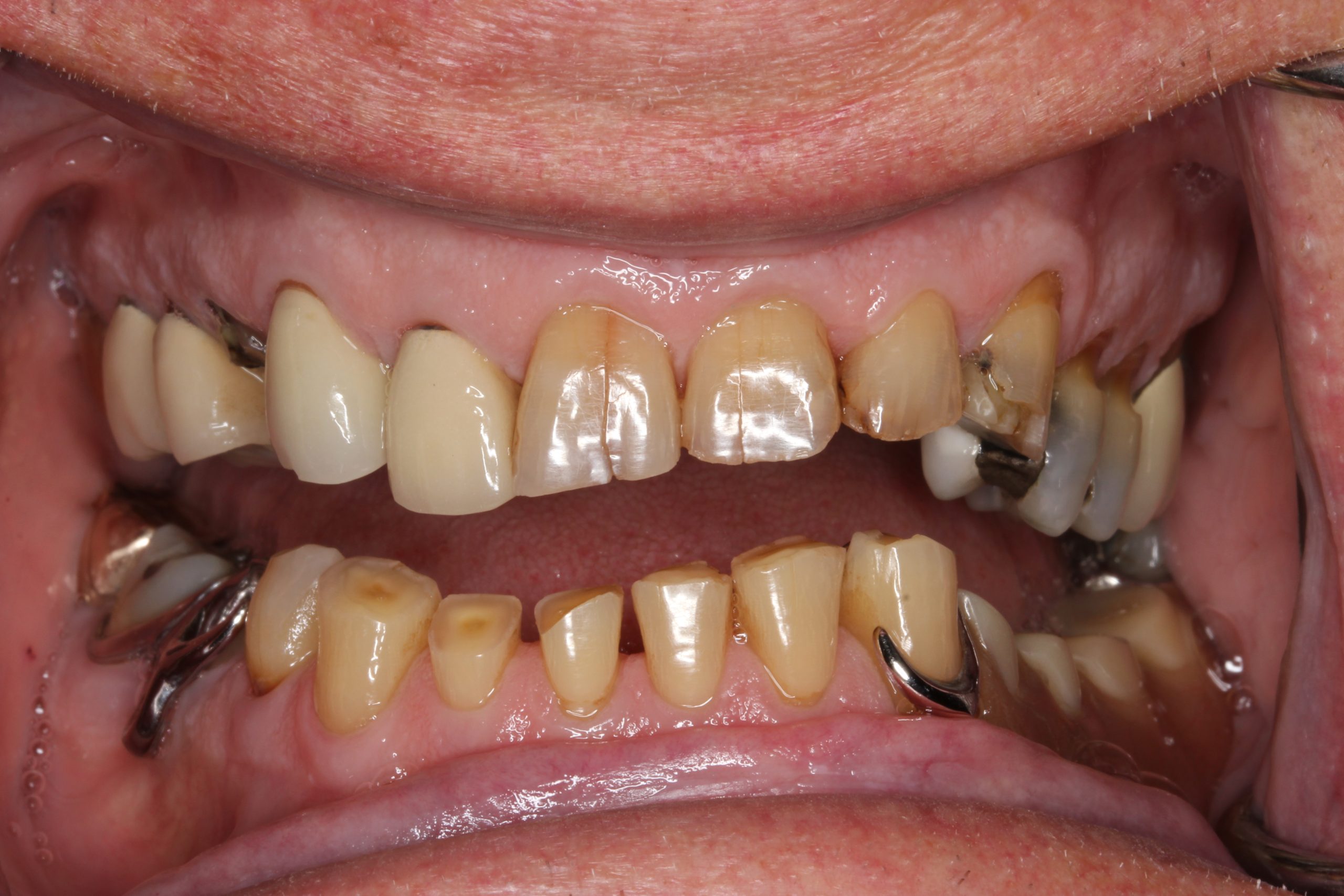
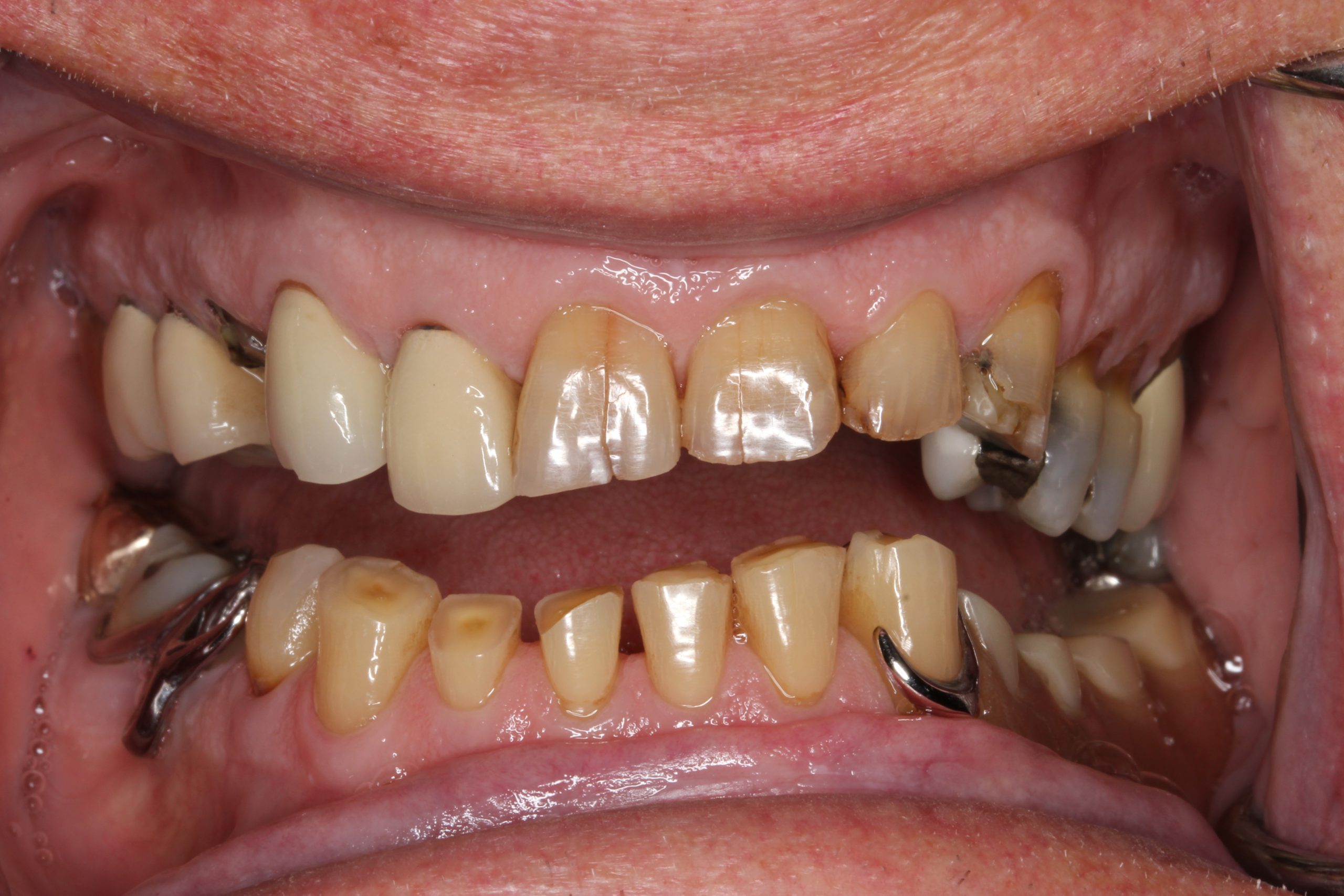
Initial Oral Examination
Read More
Invisalign®
Read More
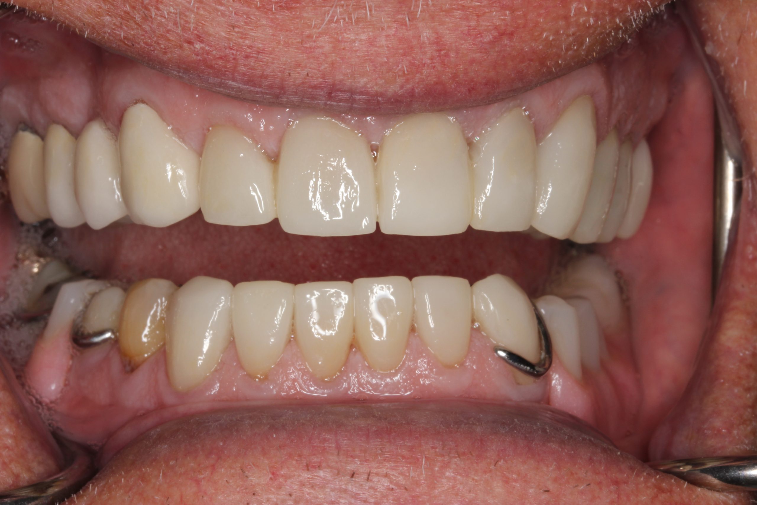
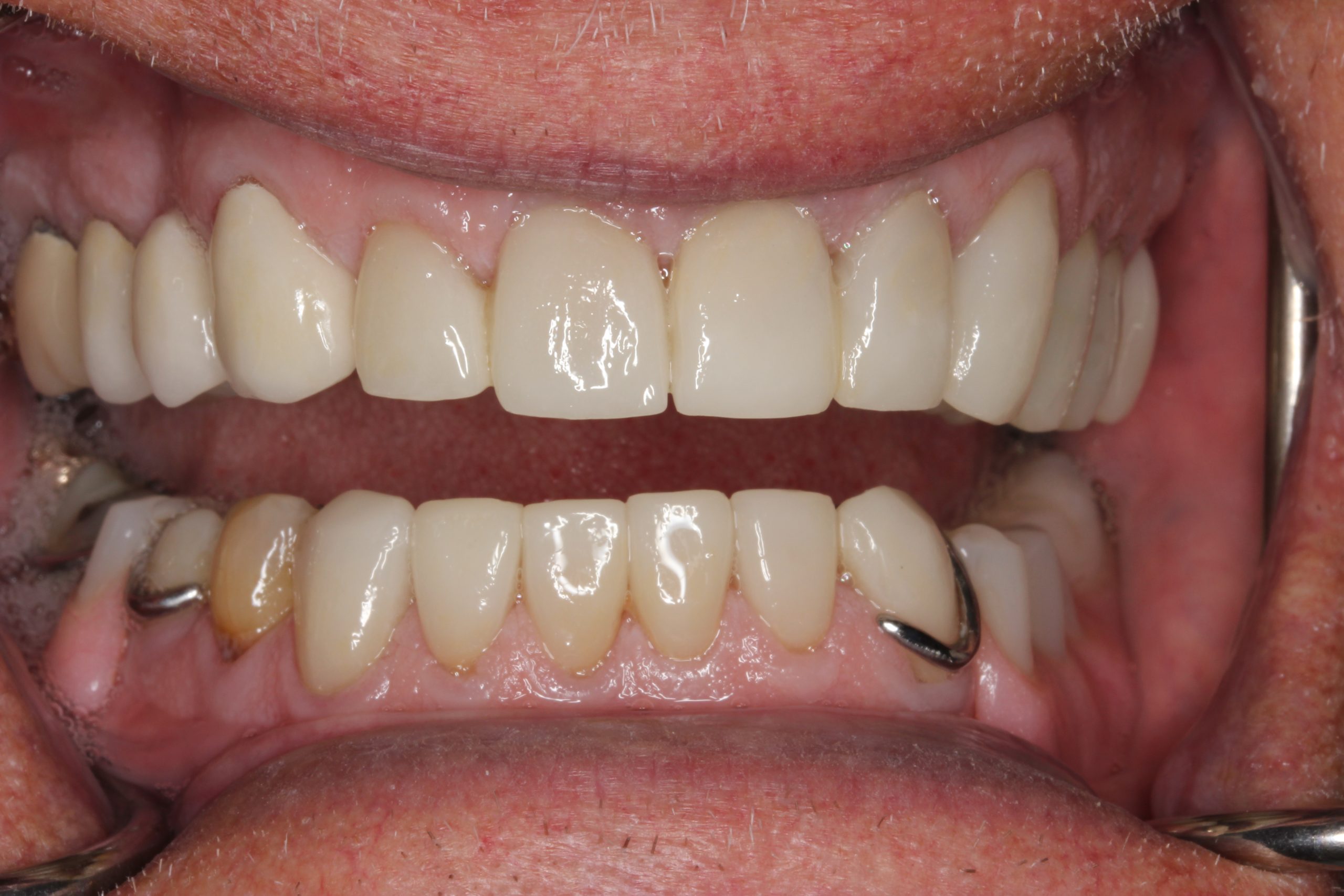
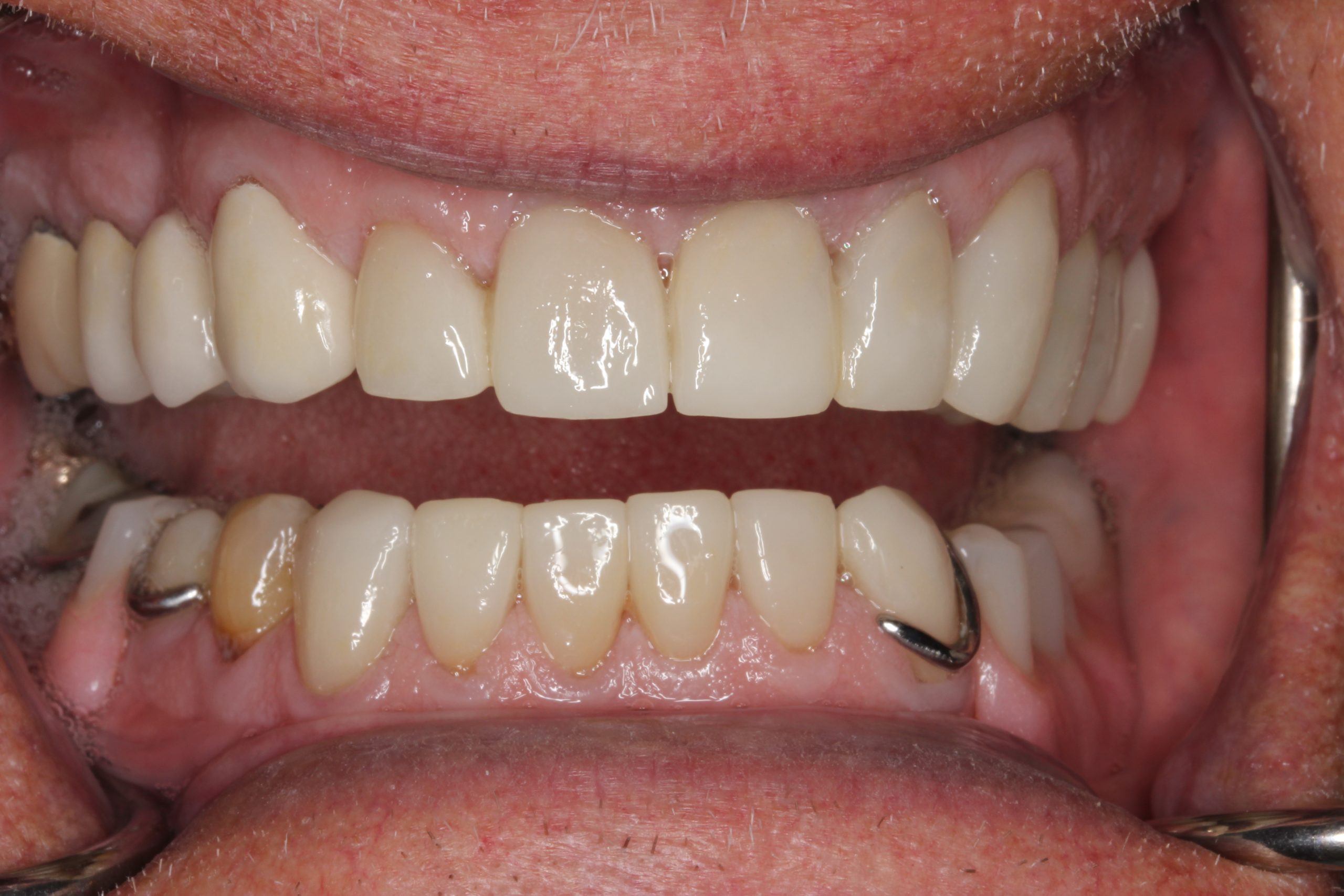
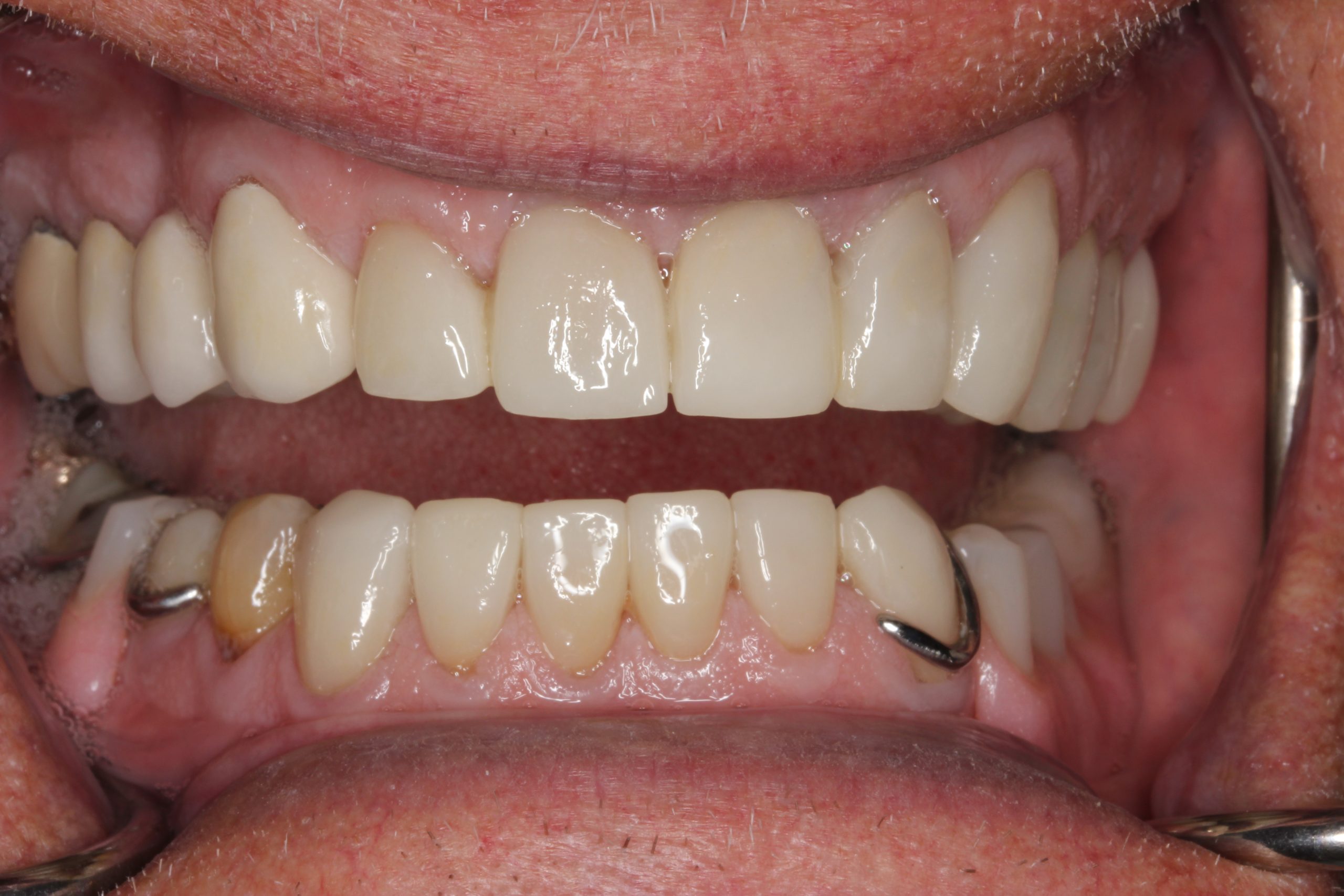
CEREC One-Appointment crowns
Read More
Root Canal Therapy
Read More
Dental Emergencies
Read More
TMJ Disfunction
Read More

INITIAL ORAL EXAMINATION

Your initial visit to our office will include a detailed evaluation of the health of your entire oral system.  This includes your teeth and gums, existing dental work, as well as your jaw joint (TMJ) health and bite stability.  A detailed and extensive charting of your existing restorations and conditions will be made.

After all the data gathering is done, we will be able to counsel you with any needs or desires you may have. Dental radiographs are an incredible powerful tool that we use to find and diagnose any problems you may have, or not even aware you have.   We use 3D Cone Beam Computerized Technology (CBCT), which is a powerful state-of-the-art imaging system that allows us to see your dental and skeletal anatomy with incredible accuracy and detail.

CEREC One-Appointment crowns

CEREC stands for Computer Engineered Restorations of Esthetic Ceramic. It is a computer-based system that allows us to provide high-quality precise fitting crowns and onlays in one appointment. It uses 3-dimensional design software and a computer numeric controlled (CNC) lathe to machine blocks of porcelain into perfect fitting restorations. To you, this means no need for a temporary crown, lousy tasting impression goop, no return appointments and only having your mouth numb with anesthetic one time. It is truly a life-changing innovation that makes dentistry faster, easier and better. 

Our office was one of the first offices in the state to incorporate this technology. We embraced this technology in 1996, and went on to become the first of 3 offices in the US to incorporate the 3D version of CEREC. Since that time, Dr. Mason has lectured, trained and mentored other doctors on the use of the CEREC system.

Invisalign

Invisalign's® invisible, removable, and comfortable aligners could give you the beautiful straight teeth you've always wanted and best of all, no one can tell you're wearing them. Invisalign® is great for adults and teenagers.

What is Invisalign®?
 - Invisalign® is the invisible way to straighten your teeth without braces.
 - Invisalign® uses a series of clear, removable aligners to straighten your teeth without metal wires or brackets.
 - Invisalign® has been proven effective in clinical research and in orthodontic practices nationwide. 

How does Invisalign® work?
- You wear each set of aligners for about 2 weeks, removing them only to eat, drink, brush, and floss.
- As you replace each aligner with the next in the series, your teeth will move little by little, week by week - until they have straightened to the their final position.
- You'll visit us about once every 6 weeks to ensure that your treatment is progressing as planned.
- Total treatment time averages 9 - 15 months and the average number of aligners during treatment is between 18 - 30, but both will vary from case to case.

Propel®
Propel is an in-home device some patients choose to speed up their treatment.  Taking only 5 minutes a day, Propel can reduce your treatment time by almost half.  If you want straighter teeth in less time, ask us about Propel as an adjunct to your Invisalign therapy.

Root Canal Therapy

Before root canal therapy was developed and gained acceptance, the only alternative for a diseased tooth was extraction. Root Canal therapy has become a remarkably predictable and successful way of treating a diseased or painful tooth, halting the spread of infection and restoring the healthy portion of the tooth. Root canal therapy has drastically improved over the years and is now a tried and true way of saving badly broken-down teeth.

Dental Emergencies

If you have a toothache, it is best to contact us as soon as possible. A severe toothache is usually caused by trauma or infection in the pulp of the tooth. Over the counter anti-inflamatory medications can be very effective pain relief. 

Clove oil is a natural anesthetic. Sucking on clove has been known to relieve a minor toothache, especially if there is an open hole in the tooth. Commercially available over the counter medications like Anbesol contain clove oil and can be very effective.

A Knocked-Out Tooth: If an accident results in a tooth being knocked completely out, quick decisive action should be taken. Find the tooth and put it under your tongue or between your cheek and teeth immediately if possible. If it is not possible to do this for some reason, put the avulsed tooth into a glass of milk. The important thing is to not let it dry out. Mothers can even put an avulsed tooth from their child into their own mouth and bring them in right away. An avulsed tooth can be replanted, but time is of the essence. The sooner the better.

Pain and Infection: Dental related infections can be very serious. If you have infection that is causing visible swelling in your face, seek attention as soon as possible. if our office is not available, it is best to go to an emergency room or minor emergency center. Antibiotics should be started as soon as possible.

TMJ Disfunction

TMJ is an abbreviation for Temporo-mandibular joint. Everyone has a TMJ. Some are healthy and some are not. TMJ dysfunction can be very painful and debilitating. The cause of TMJ dysfunction is often multi-factorial. Injury, oral habits, an improper bite, arthritis and sleep apnea are some of the possible causes. We use a variety of powerful tools to help us find the cause and approach the solutions for each patient on an individual basis. It can be a complicated problem to fix that may require multiple treatment methods. If you are suffering from a TMJ problem, ask usabout it and we can help!

Appearance Improvement

Whitening -  Professional whitening performed by our office is proven to be safe and effective. The gold standard for whiter teeth is custom manufactured mouth pieces that hold whitening gel against your teeth. Pre-packaged disposable are  a cost effective alternative.

Bonding -
Bonding is a term that is used a lot in dentistry. It refers to a process of fusing a tooth colored resin to natural tooth structure. It is the process we use to do white fillings, close gaps, improve tooth shape and symmetry, change tooth color, or adhere porcelain laminates to teeth. The bonding process is even used to white crowns on teeth.

Contouring and reshaping -
A procedure that straightens crooked, chipped, cracked or overlapping teeth.

Veneers -
Veneering of teeth is a process in which a thin, custom made porcelain facing is bonded to the front of your teeth. The veneering process can change the color or shape of your teeth. Veneers are individualized and are made in a dental laboratory using strong dental porcelains such as lithium disilicate or leucite porcelain for a life-like look that can last for many, many years.

Sedation Dentistry

Patients suffering from dental phobia are often hesitant to undergo long or complex dental procedures as they aren’t sure whether they can withstand long periods of time in the dental chair. With sedation dentistry, however, patients can endure the smile makeover they’ve always wanted. This is due in part to the fact that sedatives make long procedures seem like only a few minutes, leaving the patient in a relaxed and anxiety-free state while the dentist is free to perform the procedure with ease. Appointments that would generally require multiple visits can often be performed in just one due to the patients increased cooperation. 

Our office is certified and licensed to provide sedation so you can comfortably have dental work that you may me avoiding because of anxiety. It can be done as easily as swallowing a few pills.  No needles or IV’s need be involved. If complete sleep becomes necessary to achieve your goals, that is possible also. We work closely with a sedation team of professionals who can provide you with safe, effective sleep right in our office. If you are interested in comfortable, anxiety-free dental treatment, feel free to ask and we will tell you more.

Dental Implants

Before development of dental implants, dentures were the only alternative to replacing a missing tooth or teeth. Implants are like replacement tooth roots. They are made of pure, surgical grade titanium and are placed into the area of the mouth normally occupied by the root. Implants are anchored to the jawbone or metal framework on the bone and act as a foundation for an artificial tooth or permanent bridge. In some cases, implants can be used to attach dentures. Implants can be used to restore all of the upper or lower teeth, sections of teeth, or even a single tooth.

Many times, the entire implant restorative process can be done in our office, without the need to go to other offices for parts of the process.  Advanced or complicated situations may require the involvement of a specialist. If a specialist is required, we will guide you through the process.

MORE PROVIDED Services

The eyes may be the window to the soul...
but your mouth is the gateway to good health

We treat every patient like family and bring you the utmost in comprehensive care. See for yourself how easy it can be to stay healthy and beautiful. Or ask our patients, like ​Alexis Smith and all the Miss Kansas recipients for the last twenty years.

What Sets Us Apart

  • Dr. Mason has been the cosmetic consultant to the Miss Kansas Pageant since 2002.
  • We can do digital imaging to show you what your new smile could look like before it's done.
  • Flexible payment plans are available with approved credit.
  • High quality one-appointment porcelain crowns using the CEREC system.
  • Nitrous and sedated dentistry with a certified registered anesthetist is available.
  • Dr. Mason is a graduate of the Dawson Academy of higher dental education